$149 New Patient Special





Cares That Meets Your Needs

Meet Our Dentists
Dr. Ted Cho, DMD
Life-changing Smiles, One Patient at a Time

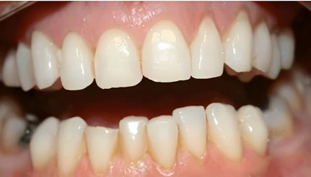
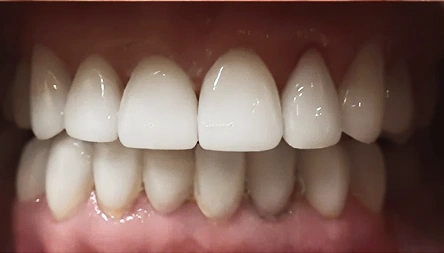
BEFORE

AFTER

BEFORE

AFTER

BEFORE

AFTER
Innovative Dentistry With a Personal Touch

We understand that going to the dentist’s office is a daunting task for most patients. We take our patients’ feelings to heart and provide a welcoming and accommodating atmosphere while performing our services with the latest and greatest dental technology. We’ll start your journey by scheduling a personalized consultation, where Dr. Ted Cho learns more about your needs. From there, we develop a customized treatment plan to provide you with your ideal smile or face.
You’ll be greeted and assisted by a friendly team devoted to taking care of our patients. All procedures and treatments are performed with innovative technology that quickens the process while generating your desired results, all led by a trusted dentist and facial aesthetician with over three decades of experience.









