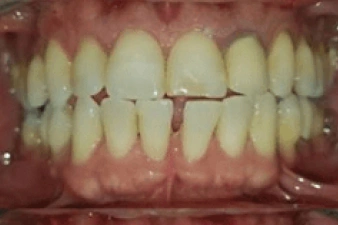
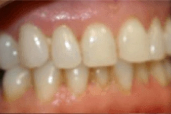
Image

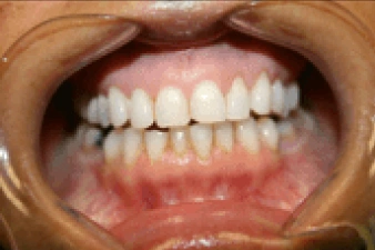
BEFORE

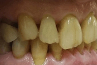
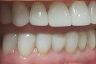
Image

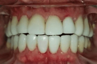
AFTER

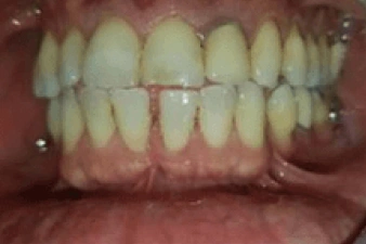
Image

BEFORE

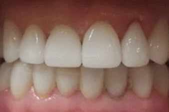
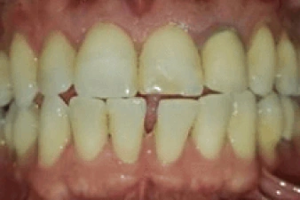
Image

AFTER

Image

BEFORE

Image

AFTER

Image

BEFORE

Image

AFTER

Image

BEFORE

Image

AFTER

Image

BEFORE

Image

AFTER

Image

BEFORE

Image

AFTER

Image

BEFORE

Image

AFTER

Image

BEFORE

Image

AFTER

Image

BEFORE

Image

AFTER

Image

BEFORE

Image

AFTER

Image

BEFORE

Image

AFTER

Image

BEFORE

Image

AFTER

Image

BEFORE

Image

AFTER

Image

BEFORE

Image

AFTER

New Patients & Emergency Appointments Welcome